慧心巧铸 酷睿不凡

E3便携式彩色多普勒超声诊断系统

广告

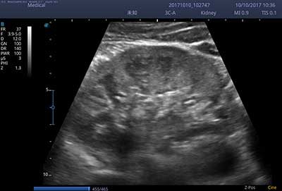
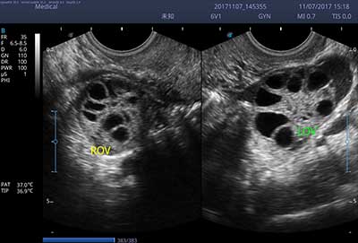
E3便携式彩色多普勒超声诊断系统拥有专业超声技术平台、高度集成化的硬件模块和结构设计、简便的操作流程、支持三探头接口全激活,兼顾了优质图像、轻便机身以及台便两用的临床使用需求。无论在常规超声科门诊检查,还是在急诊、麻醉、ICU、户外等各种应用场景。都能给您带来流程的操作体验。

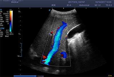
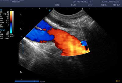
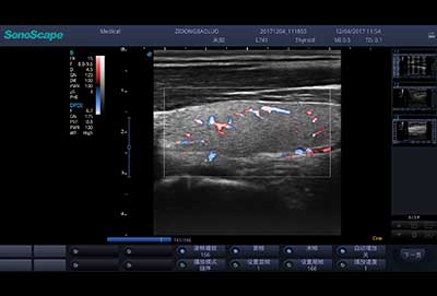
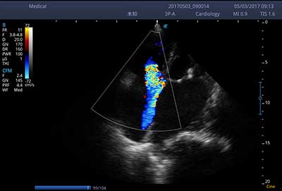
  • SR Flow 高分辨率血流
  • 组织多普勒成像
  • 穿刺增强
  • 解剖M型
  • 实时宽景成像
  • 彩色M型

简易操作流程

血管内中膜自动测量
频谱自动包络
一键自动优化

关注体验 亲密贴心

  • 功能按键科学布局
  • 丰富的外设接口
  • 卫星环绕式控制面板
  • 专用探头挂槽
  • 按键背景光显示
  • 多探头接口,互通互用,全部激活
  • 轨迹球颜色、灵敏度自定义功能
  • 主机内置大容量锂电池
  • 显示器角度可调
  • 支持蓝牙远程遥控
  • 屏幕亮度、色温自动调节
  • 支持专用台车,多功能背包

禁忌内容或者注意事项详见说明书